首页
发热仅1天,肺全白了!极度危险,千万别当普通感冒
关注者
0
被浏览
83

孩子感冒咳嗽看似常见,

12岁女孩笑笑(化名)的经历

却让人感到后怕——

仅发热1天,左肺就变成了 “白肺”,

呼吸急促到无法平躺,

血氧饱和度勉强维持在90%左右,

情况十分危急!

 

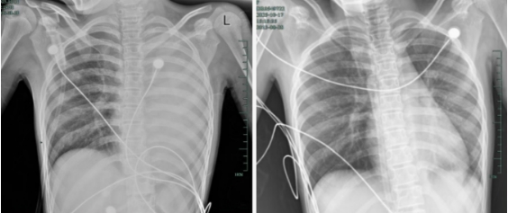
治疗前后影响对比,左肺从“白肺”到正常状态。

什么病?如此来势汹汹?

危险藏在黏液里

据介绍,笑笑一开始只是轻微咳嗽,发热到38℃,检查提示肺炎、肺不张,转诊到浙大四院儿科时,病情已经急剧恶化。

呼吸急促、胸闷胸痛,体温38.5℃,只能靠 5L/min 的面罩吸氧维持血氧,胸片显示左肺已完全呈 “白肺” 改变,肺部炎症进展迅猛。

儿科虞琳副主任医师判断

笑笑极有可能是患上了

 “塑型性支气管炎”

这是一种肺部感染的严重肺内并发症,由不同原因引发的支气管内生性异物阻塞疾病,会导致支气管阻塞、通气和气体交换功能障碍,主要症状为呼吸困难、喘息、胸痛及发热,严重时会引发危及生命的呼吸循环衰竭。

医生介绍,塑型性支气管炎是儿童期凶险的呼吸道急症,常见于2~12岁儿童,多由流感病毒、肺炎支原体、腺病毒等病毒或细菌感染引发。起病隐匿、进展快,容易误诊漏诊,若不及时治疗,可能遗留闭塞性细支气管炎、支气管扩张症等后遗症,严重时直接危及生命。

“这种病的凶险之处在于,

气道会被大量

胶冻状的黏液栓和支气管塑型堵塞,

就像呼吸通道被‘水泥’ 封住,

氧气进不去、二氧化碳出不来,

随时可能窒息。

接下来的支气管镜手术也印证了这一点。孩子的气道黏膜充血水肿,大量黄白色黏痰不断涌出,左主支气管及各肺段开口已被黏液栓完全堵死!

由于治疗及时精准,目前笑笑已顺利出院,没有留下严重的并发症。

后续检查发现,引发她此次感染的是毒力极强的铜绿假单胞菌多发生在免疫功能低下人群。

医生提醒:孩子出现这些症状

千万别拖延,尽快就诊!

孩子感冒咳嗽后出现持续发热、喘息加重、呼吸急促、胸闷胸痛、胸片或CT提示“肺不张” “肺实变”,尤其是症状在短时间内快速恶化时,一定要立即就医,切勿当作普通感冒拖延。

(辽沈晚报、都市快报、浙大四院)

发布于 2026-01-14 09:05:41 IP 属地·未知

0条评论
分享
收藏
欢迎参与评论
0条评论
点击查看全部评论 >
关于作者
文章
评论
关注者