首页
老人支气管肺炎胸部正侧位
关注者
2
被浏览
3925

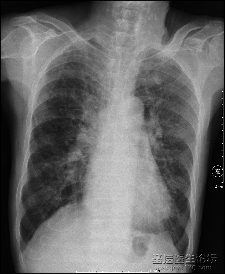
患者男,85岁,咳嗽咳痰,吸烟,余病史未知。 胸部正位 侧位 诊断报告:   两侧胸廓对称,气管上纵隔居中,右侧肺动脉干增粗,双肺纹理增粗紊乱以左肺较为明显,可见大量点片状低密度影呈蜂窝状。主动脉弓迂曲,可见钙化斑,心影大小形态在正常范围。左侧膈面近心尖处可见幕状突起,余膈面光滑,肋膈角锐利。   印象:1.考虑支扩,不除外肺气肿;      2.肺动脉高压;      3.主动脉硬化;      4.局部胸膜粘连。

最后说一下:85岁老人,能活着就已经相当不容易了,自然身体各个方面都有疾病。支气管肺炎是临床诊断,对于老人来说,肺纤维化、支气管扩张更为明显。

发布于 2012-05-18 13:48:18 IP 属地·中国|天津|天津市

4条评论
分享
收藏
欢迎参与评论
4条评论
学习了,图文并茂,容易理解,感谢影像学版主的辛勤劳动。
  • 2012-05-20 21:08:51 · IP属地·中国|安徽省|芜湖市
    回复 0点赞
不错的资料,收藏了。谢谢
  • 2012-05-29 16:37:26 · IP属地·中国|河南省|周口市
    回复 0点赞
支气管扩张的特征不是很明显,慢性间质性感染,肺气肿,右下肺动脉增宽,合并肺心病。建议CT明确肺部感染特征表现(提示支气管扩张也属于感染性病变的一种)
  • 2012-08-28 23:17:52 · IP属地·中国|山东省|东营市
    回复 0点赞
规缘故 发表于 2012-8-28 23:17 static/image/common/back.gif 支气管扩张的特征不是很明显,慢性间质性感染,肺气肿,右下肺动脉增宽,合并肺心病。建议CT明确肺部感染特 ... 胸部x线诊断离不开病史及体格检查,有些门诊大夫为了赶工作就省略掉直接x透视,给诊断带来麻烦。
  • 2012-08-29 13:12:58 · IP属地·中国|天津|天津市
    回复 0点赞
点击查看全部评论 >
关于作者
文章
评论
关注者