首页
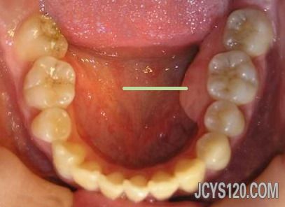
牙骨刺
关注者
0
被浏览
6411

[/p]

发布于 2013-03-07 10:57:50 IP 属地·中国|山东省|聊城市

3条评论
分享
收藏
欢迎参与评论
3条评论
什么牙骨刺?你看下会不会是牙残根。要是牙残根就给拔了。还有就是拔牙后牙槽骨没有修整好,造成骨刺样突出。可以局麻下或阻麻下凿去突起的牙槽骨。
  • 2013-03-07 11:12:15 · IP属地·中国|江西省|上饶市
    回复 0点赞
这个牙医照本人看 也是个 蒙医。作为本人来看 根本不可能长牙骨刺。希望大家也发表一下各自的论点。
  • 2013-03-07 11:35:00 · IP属地·中国|山东省|烟台市
    回复 0点赞
本帖最后由 喜欢 于 2013-3-7 15:38 编辑 牙槽骨是有骨刺的,但在临床上多见有骨刺区有骨尖,局部牙龈有时可见白色(压迫引起),用手按压局部有压痛,既然是牙医说的骨刺,应该由牙医解决,而不是找我们内科医生解决,浮版主说好,3 楼就说的有点过了。 1.消除有碍的骨突:牙齿拔除后由于骨质的吸收不均,常可形成骨尖或骨突。若经过一段时间后仍不消退,且有压痛,或有明显倒凹,妨碍义齿摘戴时,应进行牙槽骨修整,一般在拔牙后1个月左右修整较好。   2.骨性隆突修整术:骨隆突系正常骨骼上的骨性隆起,组织学上与正常骨组织无区别。过大的骨隆突在义齿摘戴时,引起组织破溃疼痛,严重者义齿无法戴入使用。   修复前应有充分的估计和判断,及时施行修整术。骨隆突常发生在:①下颌前磨牙舌侧,一般双侧对称,也可为单侧,其大小不一,也称为下颌隆突;②腭中缝处,呈嵴状隆起,也称为腭隆突;③上颌结节,结节过度增生形成较大的骨性倒凹。对双侧上颌结节肥大的情况,常常只需修整一侧上颌结节,解决妨碍义齿就位的问题即可。
  • 2013-03-07 14:40:37 · IP属地·中国|江西省|宜春市
    回复 0点赞
点击查看全部评论 >
关于作者
文章
评论
关注者