
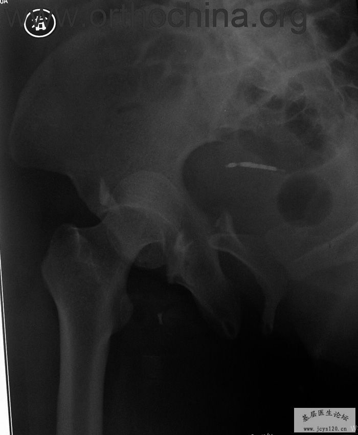
患者,女,28岁,车祸中骨盆轧伤后疼痛功能障碍1小时。查体:休克外貌,烦躁不安。头颈胸腹无异常,脊柱无异常,两下肢血供及感觉正常。骨盆挤压分离试验阳性。阴道、尿道、直肠、腹内脏器无损伤。住院后抗休克、骨牵引及对症治疗1周后,行前后联合入路手术。股骨头骨折复位后用可吸收螺钉固定,骶髂关节、髋臼前后柱、对侧耻骨上下支用骨盆重建钛板固定,术中出血1200ML,手术时间8小时。部分图片如下:


















请各位老师多提宝贵意见。谢谢!
发布于 2010-01-08 21:48:33 IP 属地·中国|河北省|保定市
治小儿顽咳效方 3012评论
皮肤病图片大全(1000张之多) 2829评论
医生营生绝活---简方疗便秘 2647评论
新农合受益方排名 2604评论
小儿感冒咳嗽输液特棒的方子(我的临床经验常用方) 2380评论
2011年,新的一年,基层医生网每日红包继续!!! 2368评论
灌肠治愈儿童咳嗽的处方。 1704评论
孕妇牙疼怎么办? 1703评论
看看我治疗的小儿咳嗽处方. 1564评论
搽痔疮肿痛简效方 1551评论