首页
小儿肺炎,病程比较长
关注者
0
被浏览
2831

今年连续遇到几例小儿肺炎,病程都不约而同的超长: 1、患儿一,男 6岁,病程24天 2、患儿二,女4岁,病程17天 3、患儿三,男5岁,病程14天 4、患儿四,男6岁,病程19天 5、患儿五,女7岁,病程15天

这是我能想起来的几个印象较深的,发病情况都相似。

以患儿一为例:

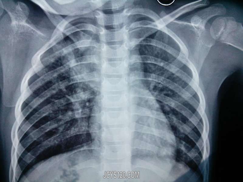
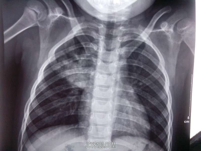
2小时前发热就诊,体温在家自测39°c,来诊后查体咽红充血,双肺呼吸音粗,未闻及干湿罗音,因为患儿服药困难所以给予输液治疗,头孢他啶、炎唬宁、利巴韦林三组液体,口服萘普生退热,液体用完,热退,第二天复诊,述回家后半夜体温再次升高到39°c,口服退烧药后下降至正常,考虑感冒,病程所致,没有调整方案,继续治疗,期间查体未发现有较前加重的症状,第五天为了明确诊断,建议患儿去医院检查,结果回报吓了一跳,右上肺炎(具体见胸片),调整治疗方案,给予青霉素、痰热清静滴5天,阿奇霉素5天,期间体温还是一直反复,建议患者住院治疗,住院后给予阿奇霉素(连续使用5天停三天,再用5天)头孢西丁等药物治疗,总时间24天才得以痊愈。第一次遇到病程这么长的,自认为期间的抗生素、激素的使用还算合理及时,不过真是想不通为什么会这样?无独有偶,接下来的一段时间连续遇到好几例,症状都差不多,因为前面的经验,发热两天后稍有咳嗽的,就建议胸片检查,还真查出好几例肺炎患儿。。。大家有遇到的吗?病程如此之长为何? [align=center] [/align]

发布于 2013-10-15 16:42:49 IP 属地·中国|山东省|德州市

12条评论
分享
收藏
欢迎参与评论
12条评论
后期应可以增加提升免疫力的药,比如黄芪针,丙球都可以考虑,对缩短病程应该会有帮助,不过在我们诊所患者是不可能治疗这么久的。三天不见好转肯定走人。
  • 2013-10-15 19:22:24 · IP属地·中国|江西省|宜春市
    回复 0点赞
现在的小儿肺炎病程长了,可能因为平时动不动就输液和激素的滥用有关。
  • 2013-10-15 20:09:18 · IP属地·中国|广西|贵港市
    回复 0点赞
感谢分享。
  • 2013-10-16 08:49:59 · IP属地·中国|天津|天津市
    回复 0点赞
现在小儿肺炎病程长很正常,平时一有一个头疼感冒的就打针输液,滥用抗生素激素,再加上患儿家属老是嫌病好的慢,总是让用好的消炎药,现在不是医生给病人看病而是患者指挥医生用药。
  • 2013-10-16 09:52:49 · IP属地·中国|河北省|石家庄市
    回复 0点赞
楼上分析的即使,本人也有同感。
  • 2013-10-16 10:11:10 · IP属地·中国|河南省|南阳市
    回复 0点赞
滥用抗生素激素,人体普遍抗药有关
  • 2013-10-16 10:11:50 · IP属地·中国|河北省|邯郸市
    回复 0点赞
zhangjieliang12 发表于 2013-10-16 09:52 static/image/common/back.gif 现在小儿肺炎病程长很正常,平时一有一个头疼感冒的就打针输液,滥用抗生素激素,再加上患儿家属老是嫌病好 ... 说得对, 现在的病难看呀。
  • 2013-10-18 20:27:27 · IP属地·中国|陕西省|西安市
    回复 0点赞
{:6_273:}{:6_273:}感谢分享
  • 2013-10-19 21:23:00 · IP属地·中国|吉林省|通化市
    回复 0点赞
小儿一般发病快,病情急,看了几位同仁的见解我补充几点 1.现在的患者一般都爱抗病,不到病入膏忙不会看医生,一般在看医生之前都有乱用药物的过程,从而延误病情。2.小儿患者无法描述病情只有靠家长和医生的经验,我建议小儿还是在第一时间还是要以化验为主,虽然会有些患者不在回来,但总比医疗事故强.3.上面的病例我认为是支原体性肺炎,病程最少15天,跟滥用抗生素及激素关系不大,支原体感染在前期都伴有低烧,再说一个小儿才多大,能接触多少抗生素?千万别人云亦云4.发表一点题外话,现在论坛上有些不是医生,大家在发言是要小心,人心不古啊
  • 2013-10-20 11:48:54 · IP属地·新加坡
    回复 0点赞
这是常见病,应采取中西医结合治疗。1,使用抗生素输液;2,退烧直肠给药;3,有咳喘雾化;4,中药辨证施治
  • 2013-10-20 20:32:02 · IP属地·中国|湖北省|黄石市
    回复 0点赞
点击查看全部评论 >
关于作者
文章
评论
关注者