
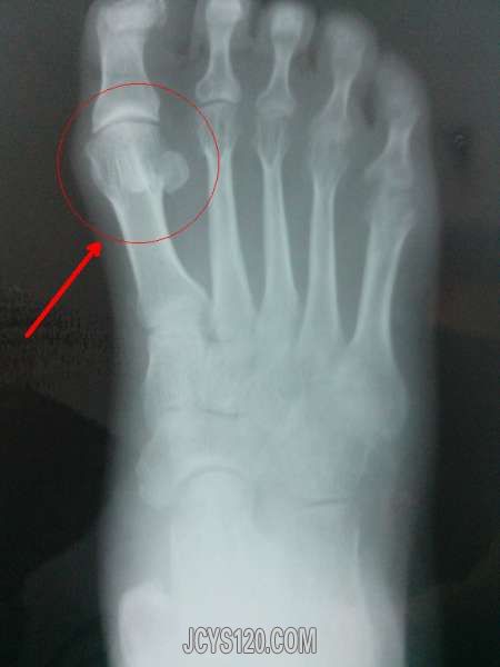
患者,男性,60岁,轻度智力障碍,能回答简单问题,一周前跟家人叙述右脚疼痛,发现其右脚轻度肿胀,局部皮肤无颜色改变,局部压痛,压痛位置位于第一跖骨。
拍片如下,请问第一趾骨和第二趾骨之间有一圆形,密度跟骨骺差不多,上图吧,请问这是什么疾病?
发布于 2013-11-01 14:50:56 IP 属地·中国|山东省|德州市
治小儿顽咳效方 3012评论
皮肤病图片大全(1000张之多) 2829评论
医生营生绝活---简方疗便秘 2647评论
新农合受益方排名 2604评论
小儿感冒咳嗽输液特棒的方子(我的临床经验常用方) 2380评论
2011年,新的一年,基层医生网每日红包继续!!! 2368评论
灌肠治愈儿童咳嗽的处方。 1704评论
孕妇牙疼怎么办? 1703评论
看看我治疗的小儿咳嗽处方. 1564评论
搽痔疮肿痛简效方 1551评论