
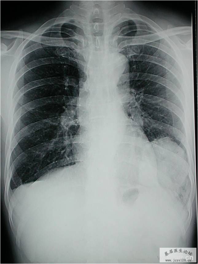
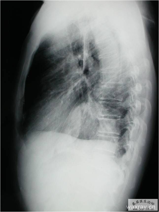
男,55岁,反复咳嗽2月余;2个月前无明显诱因出现咳嗽,无发热、咳痰、胸痛,无夜间盗汗、乏力等症状

发布于 2010-04-08 17:30:39 IP 属地·中国|河北省|保定市
治小儿顽咳效方 3012评论
皮肤病图片大全(1000张之多) 2829评论
医生营生绝活---简方疗便秘 2647评论
新农合受益方排名 2604评论
小儿感冒咳嗽输液特棒的方子(我的临床经验常用方) 2380评论
2011年,新的一年,基层医生网每日红包继续!!! 2368评论
灌肠治愈儿童咳嗽的处方。 1704评论
孕妇牙疼怎么办? 1703评论
看看我治疗的小儿咳嗽处方. 1564评论
搽痔疮肿痛简效方 1551评论