首页
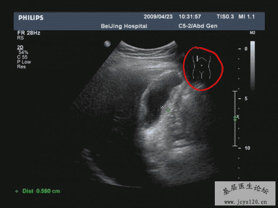
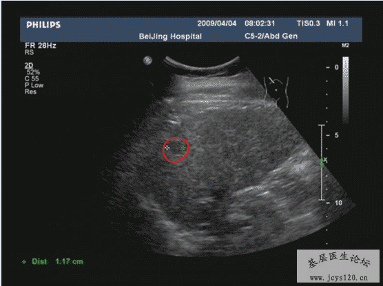
医学教育网讲义里面的精彩图片!
关注者
0
被浏览
2033

发布于 2010-05-04 16:23:38 IP 属地·中国|江西省|九江市

1条评论
分享
收藏
欢迎参与评论
1条评论
什么意思?{:6_307:}
  • 2010-05-23 15:29:18 · IP属地·中国|河北省|沧州市
    回复 0点赞
点击查看全部评论 >
关于作者
文章
评论
关注者